limb trauma

四肢外傷の疾患

四肢外傷(骨折等)

四肢外傷とは、腕や脚などの四肢に生じた外傷のことで体幹部や頭部の外傷と区別して用いられます。
転倒、スポーツ外傷、事故による骨折等の四肢の外傷は早期の適切な診断・治療が重要です。
当院では、専門医が早期の診断から手術と幅広く治療を行っております。

四肢外傷のなかでも。骨折は代表的な外傷となります。
転倒、スポーツ外傷による骨折、交通事故や労災事故による関節内骨折、粉砕骨折などの複雑な骨折までその部位は様々です。

骨折の中でも特に多いのは、骨折後の寝たきりの原因にもなる股関節周囲の骨折(大腿骨近位部骨折)で、その発生頻度の増加は2040年頃まで続くと予測されています。
寝たきりを防ぐためには早期の手術とリハビリが重要であり、当院でも積極的に取り組んでおります。高齢者の骨折患者様の多くは、骨が弱くなっている骨粗鬆症の状態です。
当院では骨折治療と同様に 骨折予防も重要と考えて、骨密度測定検査や血液検査の結果をもとに、骨粗鬆症患者様に対して一人一人にあわせた骨粗鬆症治療も行っております。→骨粗鬆症

他に頻度の高い肩、手首、足の骨折、労災事故で多い踵骨の骨折、交通事故で多い鎖骨、下腿骨の骨折など四肢の骨折で手術適応がある場合には、積極的に手術加療を行っております。
また、手術を受けられる患者さまだけでなく、保存治療の患者様にも早期からリハビリテーションを継続して頂くことで、患者様のよりよい機能回復と早期社会復帰を目指しております。

主な疾患

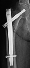
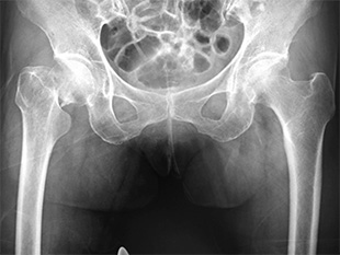
大腿骨近位部骨折(あしの付け根の骨折)

疾患と症状

高齢者の転倒で生じる骨折の中でも頻度が高い骨折です。
寝たきりの原因としての頻度が高く、早期の手術とリハビリが望ましいものです。
必要に応じて地域の他病院と連携しながら、もとの日常生活への復帰を目指します。

  • 画像:大腿骨近位部骨折

    (術前)

  • 画像:大腿骨近位部骨折

    (術後:ガンマネイル)

  • 画像:大腿骨近位部骨折

    (術後:人工骨頭)

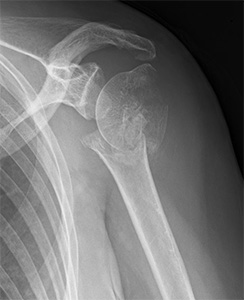
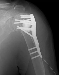
上腕骨近位部骨折(肩の骨折)

疾患と症状

高齢者の転倒時に肩や腕を強打して生じることが多い骨折です。
高齢化に伴い、発生数が増加しています。
必要に応じて地域の他病院と連携しながら、もとの日常生活への復帰を目指します。

  • 画像:上腕骨近位部骨折

    (術前)

  • 画像:上腕骨近位部骨折

    (手術例1)

  • 画像:上腕骨近位部骨折

    (手術例2)

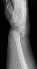
橈骨遠位端骨折(手首の骨折)

疾患と症状

転倒時に手をついて生じることが多い骨折です。
ずれが小さい場合は保存療法(ギブス固定)も可能です、ずれが大きい場合や早期のギブス除去、社会復帰を希望される場合に手術を行っております。

  • 画像:橈骨遠位端骨折

    (術前)

  • 画像:橈骨遠位端骨折

    (術後)

足関節骨折(足首の骨折)

疾患と症状

転倒/転落時に足をねじった場合に生じる骨折です。
多少のずれでも、骨がつくのが遅れたり、足首の障害が残ることの可能性が高い骨折のため手術を選択されることが多いものです。

  • 画像:足関節骨折

    (術前)

  • 画像:足関節骨折

    (術後)

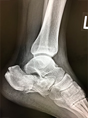
踵骨骨折(かかとの骨折)

疾患と症状

高所作業時の転落などによる労災事故での頻度が高く複雑な折れ方が多い骨折です。
後遺症が残ることが多い骨折であり、障害が少なくすむように適切な治療に努めております。

  • 画像:踵骨骨折(かかと骨折)

    (術前)

  • 画像:踵骨骨折(かかと骨折)

    (術後)

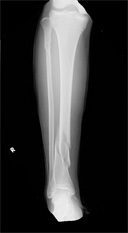
下腿骨折(すねの骨折)

疾患と症状

バイクや自転車など交通事故で直接下腿をぶつけたりねじったりした時に生じる骨折です。
早期社会復帰のために手術が選択されることが多いものです。

  • 画像:下腿骨折

    (術前)

  • 画像:下腿骨折

    (術後)

骨粗鬆症

疾患と症状

骨粗鬆症は骨が脆くなり骨折しやすくなる病気です。一定の年齢になると高い頻度で発症します。原因はホルモンバランスの崩れやカルシウム・ビタミンDの不足等があります。
骨の強度を高め再骨折を予防するには、食生活の見直し(不足する栄養素の摂取)や適度な運動、適度に日光にあたる事など生活全般に関する対応だけではなく、薬物による治療が効果的です。
当院では、骨密度測定検査や血液検査の結果をもとに患者様にとって効果が高く継続しやすい骨粗鬆症治療を行っております。
また、骨粗鬆症マネージャーと共に【骨活:ほねかつ】活動に意欲的に取組み、骨粗鬆症治療継続の支援を行っております。

手術について

主な術式

骨折観血的手術

骨折観血的手術とは骨折している部分を切開して骨を正常な状態に戻して、髄内釘といわれる支柱、ロッド、プレート、ねじ、鋼線などを用いて固定する方法です。ギブス固定による保存療法と異なり、切開の傷跡は残りますが、骨折後に起きる後遺症の症状の軽減や治療期間を短縮することができます。
手術の際に体内に埋め込んだ金属は、完全な骨癒合が得られた後に取り除く手術(抜釘)が可能です。しかし、固定材料の種類や、手術部位、患者さんの年齢によっては取り除く必要がない場合があります。
抜釘については時期も含めて、ご本人と相談して決めていきます。
また、金属物が原因でリハビリが進まなかったり、合併症等のために予定よりも抜釘時期を早めることがあります。

  • 画像:骨折観血的手術(大腿)ガンマネイル

    骨折観血的手術(大腿)
    ガンマネイル

  • 画像:骨折観血的手術(上腕)プレート固定

    骨折観血的手術(上腕)
    プレート固定

  • 画像:骨折観血的手術(前腕)プレート固定

    骨折観血的手術(前腕)
    プレート固定

  • 画像:骨折観血的手術(足)プレート固定、テンションバンド

    骨折観血的手術(足)
    プレート固定、テンションバンド

  • 画像:骨折観血的手術(足)プレート固定

    骨折観血的手術(足)
    プレート固定

  • 画像:骨折観血的手術(下腿)髄内釘

    骨折観血的手術(下腿)
    髄内釘

人工骨頭挿入術(大腿骨)

股関節を展開して骨折した大腿骨頭を摘出して人工骨頭(金属・セラミック・ポリエチレンの複合体)に置換えます。固定のために必要な場合は、骨セメント(接着剤)を使用することもあります。
高齢者や骨折部のズレ(転位)が大きい場合は、疼痛のコントロールと早期離床によるADLの改善、介護負担の軽減や合併症の発生・増悪の予防による生存率の向上等につながることから、この術式が適応します。

  • 画像:人工骨頭挿入術(大腿骨)

    人工骨頭挿入術(大腿骨)

治療部位・疾患・術式 Sick