Knee

膝関節の疾患

膝関節

膝関節は、太ももの骨(大腿骨)と、すねの骨(脛骨)、そして膝のお皿(膝蓋骨)の3つの骨から構成される関節です。
人体で最も大きな関節であり、歩行や立ち座りなど、日常生活に重要な役割を果たしています。

こんなお悩みございませんか?

  • 階段の上り下りで膝が痛くなる
  • 膝が痛くて正座できない
  • 膝が痛くて長く歩くことができない

主な疾患

「膝関節」の代表的な疾患に関する概要、症状、診断方法を紹介いたします。

変形性膝関節症

疾患と症状

これは文字通り、膝関節が変形を生じ疼痛などの症状がみられる疾患です。男女比は1:4 と女性に多く見られ高齢者になるほど罹患率が高くなります。
50 歳代から徐々に増加し、70 歳を超えると半数にも及ぶと言われています。初期の症状としては、立ち上がり、歩きはじめなどの動作開始時の痛みであることが多く、病状が進行すれば、可動域(曲げ伸ばし)の制限や歩行障害、歩行困難が見られるようになり、活動制限や生活レベルの低下を引き起こすこととなります。

画像:変形性膝関節症の主な症状

治療方法

治療としては、病期(疾患の進行程度)によってさまざまなものがあります。
① 保存療法(リハビリ、投薬、注射など)
② 手術療法(関節鏡下デブリドマン、膝周辺骨切り術、人工膝関節置換術)
治療方法の選択については、患者さんごとの背景や病期によって異なりますので、相談しながら決めさせていただきます

画像:変形性膝関節症の進行度

治療方法

  • 保存療法(リハビリ、投薬、注射など)
  • 手術療法(関節鏡下デブリドマン、膝周辺骨切り術、人工関節置換術
膝前十字靭帯損傷

疾患と症状

前十字靭帯は、膝関節内のほぼ中央に位置して、大腿骨の後方から脛骨の前方に付着しており、膝の前後方向に加え回旋方向の安定性を制御しています。
スポーツなどで、ジャンプから着地する際に膝を捻り損傷することが多く(非接触型)、痛みのために しばしばプレー続行が困難となります。受傷後に膝関節が腫れた場合は、本疾患を疑う必要があります。受傷当初は疼痛が強いのですが、数週間も経つと痛みは殆ど消失し、膝の曲げ伸ばしにも不自由がなくなり、直線的な動きではほとんど症状を自覚しないため「治った!」と感じることもしばしばです。しかし注意が必要です。正確な診断が必要となります。
装具などの適切な治療を行えば、手術を行わなくても治ることもありますが、無治療で自然に治癒する ことは極めてまれで、治ったと自覚してスポーツを再開すると膝くずれや膝が抜けたような感覚、膝の腫れ、痛みが再発します。『またケガをした』と思って、しばらく安静にしていれば症状が落ち着いて、日常生活にもほとんど支障をきたさないために、やはり治ったのではないかと誤解してしまいます。
このようなことを繰り返すうちに、半月板などの関節内構造物が傷んでしまうため、早期に変形性膝関節症を発症する危険性が高くなるため、軽い捻挫などと誤解して放置することなく、適切な診断と治療を受けることがとても重要です。MRI で最終診断することは重要です。
前十字靭帯損傷を生じるとスポーツ復帰は困難です。なお『スポーツ選手が膝の靭帯の手術を受けた』と言った場合は、殆どが前十字靭帯損傷であると思われます。

治療方法

治療としては関節鏡を駆使して、靭帯の再建術を行いますが、その際半月板損傷などの合併損傷があれば、追加して処置を行います。
私たちは靭帯の代用組織として同側の半腱様筋腱を用いています。

膝半月板損傷

疾患と症状

半月板は膝関節の中で大腿骨と脛骨の間にあって、膝のクッションの役割を果たす重要な軟骨で、 膝の内側と外側とに見られます。三日月のような形態をしているため、半月板と名づけられ、形態的な特徴から、膝の前後左右への安定性にも関与しています。
半月板損傷は頻度が高く、様々な原因で損傷します。若い方では主にスポーツ活動中に体重がかかった状態で膝を捻ることで損傷を生じることが多いのですが、高齢者では加齢に伴って、徐々に半月板が 傷んでくる場合が多いようです。
半月板損傷を生じると、膝の曲げ伸ばしで痛みを感じるようになり、しばしば関節に水がたまった状態となって、特に階段昇降やしゃがみこみ動作が困難になります。
また断裂した半月板の一部が関節内で骨の間に挟まると、膝の中で何かが引っ掛かったような感覚が自覚され(キャッチング)、膝が抜けたような感覚や(脱臼感)、著しい場合は引っ掛かりのために膝の曲げ伸ばしができなくなる(ロッキング)こともあります。
半月板の損傷部位を外から圧迫すると痛みが誘発される(圧痛)所見や膝を捻りながら屈伸することで痛みやクリックが誘発される所見 (McMurray徴候)などが診断には有用な所見ですが、確実な診断にはMRIが必要です。

治療方法

半月板損傷は必ずしも自然治癒するわけではありません。上記の前十字靭帯損傷に合併する半月板損傷など、一部に自然治癒を見ることはありますが、断裂部を治癒させるのには、関節鏡を使用した半月板縫合 手術が必要となります。

但し、半月板はもともと血管分布に偏りがあるなど、他の組織に比べて治癒能力が高くないので、せっかく縫合しても治癒するとは限りません。半月板の損傷部位や状態(変性)によっては損傷部位の部分切除を行う必要があります。最終的には手術中に判断することとなります。
また日本人には多く見られるのですが(10-15%)、三日月型ではなく、生まれつき満月(円板状)の形態をした半月板の方がいます(円板状メニスクス、円板状半月)。
半月板が大きいだけではなく厚いことも多いため、損傷しやすく、伸展制限や脱臼感などの症状が強く出る場合があります。この場合は、半月板の損傷程度や部位にもよりますが、正常の形(三日月形)にする、半月板形成手術(部分切除術)を行う必要があります。

手術について

主な術式

人工膝関節置換術

人工膝関節とは、傷んだ関節表面を金属(一部プラスティック)で置き換えるものです。『人工関節は⾧持ちしない!』と耳にしたことがある方もいるかもしれませんが、最近の人工関節は昔に比べデザインや材質の改良にて耐久性は格段と向上し、しっかりとした手術を行えば一生ものであります。人工関節は決して“魔法の関節”でもなく、エンジンが備えられているわけでもありませんが、しっかりとリハビリテーションを行えば、低下しつつある活動性を向上させることができ、日常生活の質を向上させることが出来ます。

特徴

全部の関節を置き換える全人工膝関節置換術だけではなく、状態に応じて単顆型人工関節(半分の人工関節)も行っています。
これらの疾患では、膝関節の軟骨や骨がすり減ったり、関節が変形したりして、痛みが強くなり日常生活に支障をきたすことがあります。保存療法(痛み止めや注射、装具など)が効かない場合や、関節の機能が損なわれている場合に、人工膝関節置換術が適応されます。

画像:人工膝関節置換術 画像:人工膝関節置換術 画像:人工膝関節置換術 画像:人工膝関節置換術

対応疾患

Kinematic alignment手技を用いた人工膝関節置換術

私たちは2019年5月よりKinematic alignment 手技で人工膝関節置換術を行っています。この方法は、靭帯の剥離操作を最小限にとどめ、患者各人の変形前あるいは元来の膝関節を復元する手技であり、今までの手技に比べ機能回復が早く患者満足度の向上を実感しています。なお当院は人工膝関節置換術の手術見学施設に認定されており、国内外問わず、全国各地の医師が訪れています。→手術見学認定施設説明

関節鏡下靱帯断裂形成術

関節鏡を駆使して、靭帯の再建術を行います。半月板損傷などの合併損傷が有る場合は、追加して処置を行います。
私たちは靭帯の代用組織として同側の半腱様筋腱を用いています。

  • 画像:正常な十字靱帯

    正常な十字靱帯

  • 画像:断裂した十字靱帯(MRI)

    断裂した十字靱帯(MRI)

  • 画像:断裂した十字靱帯(関節鏡)

    断裂した十字靱帯(関節鏡)

  • 画像:術後レントゲン(側面)

    術後レントゲン(側面)

  • 画像:術後レントゲン(正面)

    術後レントゲン(正面)

  • 画像:再建した前十字靱帯(MRI)

    再建した前十字靱帯(MRI)

  • 画像:再建した前十字靱帯(関節鏡)

    再建した前十字靱帯(関節鏡)

関節鏡下半月板切除/縫合術

関節鏡を使用して、損傷した半月板の縫合術を行います。
半月板の損傷部位や状態(変性)によっては損傷部位の部分切除を行う必要があります。最終的には手術中に判断することとなります。
また日本人には多く見られるのですが(10-15%)、三日月型ではなく、生まれつき満月(円板状)の形態をした半月板の方がいます(円板状メニスクス、円板状半月)。
半月板が大きいだけではなく厚いことも多いため、損傷しやすく伸展制限や脱臼感などの症状が強く出る場合があります。この場合は、半月板の損傷程度や部位にもよりますが、正常の形(三日月形)にする、半月板形成(部分切除術)を行う必要があります。

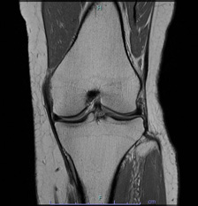
  • 画像:正常な半月板MRI画像(右膝)

    正常な半月板MRI画像(右膝)

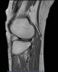
  • 画像:正常な半月板MRI画像(内側)

    正常な半月板MRI画像(内側)

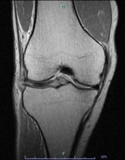
  • 画像:正常な半月板MRI画像(外側)

    正常な半月板MRI画像(外側)

  • 画像:正常な半月板関節鏡画像(内側)

    正常な半月板関節鏡画像(内側)

  • 画像:正常な半月板関節鏡画像(外側)

    正常な半月板関節鏡画像(外側)

  • 画像:損傷後内側半月板MRI画像(側面)

    損傷後内側半月板MRI画像(側面)

  • 画像:損傷後内側半月板MRI画像(正面)

    損傷後内側半月板MRI画像(正面)

  • 画像:損傷後内側半月板関節鏡画像

    損傷後内側半月板関節鏡画像

  • 画像:部分切除後内側半月板関節鏡画像

    部分切除後内側半月板関節鏡画像

  • 画像:損傷後外側半月板MRI画像(側面)

    損傷後外側半月板MRI画像(側面)

  • 画像:損傷後外側半月板MRI画像(正面)

    損傷後外側半月板MRI画像(正面)

  • 画像:損傷後外側半月板関節鏡画像

    損傷後外側半月板関節鏡画像

  • 画像:部分切除後外側半月板関節鏡画像

    部分切除後外側半月板関節鏡画像

治療部位・疾患・術式 Sick